Nawrót palucha koślawego

Badania kliniczne wskazują, że nawrót palucha koślawego (tzw. „odrastanie haluksa”) występuje w od 2% do 16% przypadków. Niektóre prace wskazują nawet kilkudziesięcioprocentowy nawrót po kilkunastu latach od zabiegu. Zatem, czy w ogóle warto się operować i narażać się na ryzyko? W końcu każda operacja stopy to ból, przejściowa niesprawność i walka z obrzękami nawet przez kilka miesięcy.

Nawrót koślawości palucha to nie koniec świata!

Zazwyczaj uszkodzenia są przynajmniej częściowo odwracalne, a ponowna korekcja może zapewnić trwały, dobry wynik funkcjonalny jak i kosmetyczny.

W przypadku gdy zaobserwujemy nawrót koślawości / odrastanie haluksa po operacji palucha koślawego, w pierwszej kolejności należy zastosować metody nieinwazyjne takie fizjoterapia, wkładki ortopedyczne, specjalne ortezy lub kliny prostujące na palucha. Należy także zadbać o wygodne obuwie. Gdy to nie pomoże istnieją następujące możliwości dalszego leczenia operacyjnego, wśród których większość jest mniej inwazyjna niż pierwotny zabieg:

  • Uwolnienie tkanek miękkich – zabieg ten jest zazwyczaj stosowany jako dodatek do innych procedur by odzyskać prawidłowe ustawienie palucha i zapobiec nawrotowi koślawości. Często po takim uwolnieniu stosuje się opatrunek unieruchamiający paluch w pozycji mocno korygującej przez kilka tygodni – jest to metoda najmniej inwazyjna ale stosowana jedynie do wybranych przypadkach.
  • Osteotomia – Dodanie pojedynczej osteotomii (korekcji kostnej) często pozawala na znaczną poprawę korekcji. Potrafi ona zniwelować większość niekorzystnych działań ścięgien, które spowodowały nawrót koślawości palucha, poprzez przesunięcie osi deformacji.
  • Rozszerzenie korekcji – Zdarza się, zwłaszcza w przypadku palucha koślawego operowanego u osób w okolicy 20 roku życia, że pierwotny mniej rozległy zabieg, nie wystarcza do trwałej korekcji. Przy predyspozycjach genetycznych w trakcie życia następuje pogłębienie deformacji koślawej. W tej sytuacji wskazana jest bardziej inwazyjna metoda z korekcją lub usztywnieniem u podstawy pierwszej kości śródstopia.
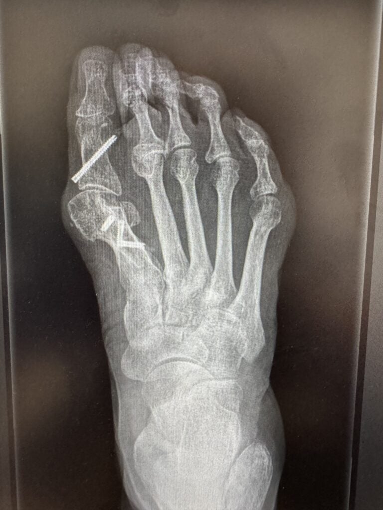
  • Przezskórna operacja stopy często umożliwia zaradzić nawet znacznym deformacjom w małoinwazyjny i skuteczny sposób. Dotyczy to także sytuacji gdy mamy nawrót koślawości palucha po innej operacji. Ze względu na trudną technikę zabiegową i nierzadko obecne śruby po poprzednim zabiegu, konieczna jest wnikliwa kwalifikacja oraz dokładne badania obrazowe.
  • Usztywnienie – jest to procedura ratunkowa gdy nie ma możliwości skorygowania palucha np ze względu na warunki anatomiczne lub zmiany zwyrodnieniowe. Usztywnienie jest także znakomitą metoda leczenia np. u osób starszych. Jest to sprawdzona i bardzo skuteczna procedura, która zazwyczaj tylko w niewielkim stopniu ogranicza funkcję stopy.
  • protezoplastyka – rzadko stosuje się ten rodzaj zabiegu w przypadku nawrotu palucha koślawego. Jednak w sytuacji gdy mamy uszkodzenie stawu, a pacjent lub pacjentka nie jest gotowy na jego usztywnienie, można założyć protezę stawu palucha. Zazwyczaj konieczne jest wykonanie także innych procedur korekcyjnych.

Kwalifikacje do zabiegów nawrotu koślawości palucha prowadzę w Gabinetach Medycznych Pani Chirurg w Gdyni lub poradni ortopedycznej UCK w Gdańsku (NFZ).

2 thoughts on “Nawrót palucha koślawego

Comments are closed.